この記事は歯科医療関係者のみご覧ください。〈一般のみなさまへの情報提供を目的としたものではありません〉
【デュラインSJ Q&A】 よくある質問
【Q1】X線造影性はありますか。
A
ありません。
【Q2】硬化促進剤のような製品はありますか。
A
ありません。
【Q3】発熱温度はどれくらいですか。
A
JIS規格※に準拠した場合、41℃です。
ただし混和物の量で発熱量は変化します。
※JIS T 6611: 歯科用レジンセメント(直径4mm×高さ4mmの収容部に混和物を充填し、熱電対で温度測定(37℃))
【Q4】筆積みで使用できますか。
A
補修等には筆積みができます。
修復する部分は一層研削し、レジン新鮮面を出してあらかじめ液材を薄く塗布してください。
筆積みする際は、粉材と液材は必ずラバーカップ等に一旦取り出してから使用してください。
汚染を防ぐため、粉材・液材の容器内に筆を直接漬けないでください。

咬頭頂の修正
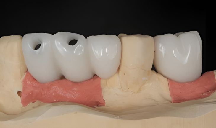
【Q5】金属色を遮蔽するにはどうすればよいですか。
A
「ア・ウーノ オペーカー」をご使用ください。
「ア・ウーノ オペーカー」を使用した例を示します。
「ア・ウーノ オペーカー」の詳細はこちらをご覧ください。
ア・ウーノ オペーカー 製品ページ
https://www.yamakin-gold.co.jp/prdct_dental/product/auno_opaquer.html

模型作成後

「ア・ウーノ オペーカー」塗布後

「デュラインSJ」にて作製した暫間修復物を装着
デュラインSJ 管理医療機器 歯科汎用アクリル系レジン 認証番号:307AKBZX00074000
ア・ウーノ オペーカー 管理医療機器 歯科用色調遮蔽材料 認証番号:306AABZX00018000
製造販売元:YAMAKIN 株式会社 〒781-5451 高知県香南市香我美町上分字大谷 1090-3
